Telefonat smart janë mjaft të përdorshëm kohëve të fundit, megjithatë dicka e tillë thjeshtë është e dëmshme për shëndetin e të gjithëve.
Nga një hulumtim i fundit është zbuluar se ata janë duke u sjellë njerëzve probleme me shpinën dhe duke i dhënë kësaj të fundit një përkulje tejet të rrezikshme shëndetësore për cdo person.
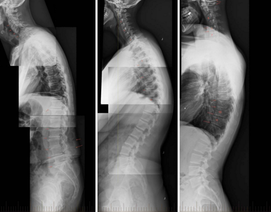
Sipas një doktori nga Australia, James Carter thuhet se adoleshentët dhe fëmijët ne veçanti janë duke u zhvilluar me një shpine me anomali, të lakuar për shkak të presionit mbi qafën e tyre gjatë përdorimit të telefonave apo tabletave.
Sipas tij kjo gjendje e re mund të sjellë dëmtime kurrizore.
Kështu doktor Carter, për të sqaruar sa më mirë dhe për të vedijësuar të gjithë në lidhje me situatën e krijuar nga përdorimi i tepërt i celularëve e mjeteve të tjera teknologjike, ka sjellë edhe fotografi të boshteve kurrizore të disa fëmijëve të cilët ai i ka kontrolluar gajtë punës së tij.
Ai thotë: “Ja shikoni ne foto në vend se të kenë një kurriz normal përpara, pacientët e mi fëmijë, shihet qartë se kanë një kurriz të dëmtuar e që tërhiqet pas. Kjo është shumë degjenerative që shkakton dhimbje të pandalshme të kokës, qafës, shpatullave e të të gjithë pjesës shpinore gjithashtu’’.
/DRONI.al/
Për t’u bërë pjesë e grupit të "DRONI.al - Agjencia Kombëtare e Lajmeve" mjafton të klikoni: Join Group dhe kërkesa do t’ju aprovohet.
KOMUNITETI DRONI.AL: https://www.facebook.com/groups/426976918158037/











